
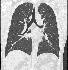
CTとはコンピューター断層撮影(Computed Tomography)の頭文字をとった略称で、X線を使用して体の周りを回転しながら撮影し、体の内部構造を詳しく調べる精密検査です。CT検査には、造影剤を使用しない単純検査と造影剤を静脈注射してより詳しく調べる造影検査があります。検査の種類によって検査時間は異なりますが、準備も含めて約10分~30分です。
当クリニックのCT装置(Canon製Aquilion PRIME)の特徴
■80列のマルチスライスCTで全身を短時間で撮影することができます。肺の検査で2~3秒、肺~骨盤までの検査でも8秒程で撮影可能です。
■AI(Deep Learning:深層学習)を用いた画像再構成技術を用いて、被ばく線量を減らしながら高画質な画像を得ることができます。
当クリニックでは、クリニックとしては珍しく、造影検査も行っています。主に心臓(冠動脈)や大動脈などの血管の検査が多い傾向です。様々な検査目的を満たすために、撮影方法や造影剤注入法、画像処理などを工夫し、より良い画像を提供しています。
これまでは大きい病院で検査をする必要がありましたが、当クリニックでも検査が可能になったことで病院間の往来も減り患者さんの負担軽減が可能になりました。
造影剤を使用する際には注意事項がいくつかありますが、事前に患者さんと確認しながら検査の準備を進めていきますので、安心して検査を受けていただけます。また当院にはX線CT認定技師が1名在籍しています。



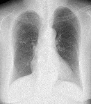
当クリニックでの胸部X線撮影は、前回の画像と今回の画像をコンピューターで解析し、新規の病変を発見しやすくする画像処理を行っています。定期検査での新たな病変の検出に有用です。