肺がんは初期での症状が乏しく、症状が見られるようになる頃にはすでに進行していることが多いといわれています。
肺がん検診といえば、胸部レントゲン検査が一般的ですが、早期の小さな肺がんまで発見するのはなかなか難しいのが現状です。
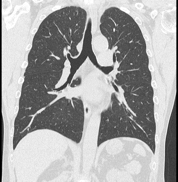
そこで、精度の高いCT検査を活用することで、より早期の肺がんを発見することができます。
転移を起こす前の完治可能な時期に肺がんを見つけ、適切な治療を行うことにより、肺がんでの死亡率を下げることができます。

■ 胸部X線検査では発見が難しい小さな肺がんも早期発見が可能
■ 肺がんのほか、肺気腫などの慢性閉塞性肺疾患を見つけることができます
■ CT検査時間はわずか10分
健康診断の目的
◎身体の異常や病気の早期発見、早期治療
◎自身の健康状態を知り、日常生活を見直すきっかけ

■ 喫煙している方、喫煙歴がある方
■ 肺がんの家族歴がある方
■ 同居者に喫煙者がいる方
■ 肺がんが心配な方
■ 咳や痰がでやすい方
◎生活習慣病が気になる方は、内臓脂肪CT検査もおすすめです。
内臓脂肪CT検査であなたの内臓脂肪を数値で示します。
内臓脂肪が多いと、動脈硬化が進み、心筋梗塞・狭心症・脳卒中(脳梗塞など)などのリスクとなります。
ご自身の内臓脂肪量を知り、ぜひ健康管理にお役立てください。
肺がんCT検査(税込9,900円)+内臓脂肪CT検査(税込2,200円)→セット割で税込11,000円